Sporcularda Omuz Sorunları
Eylül 3, 2014Futbolcu kasığı(Atletik pubalji)
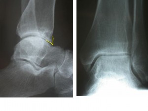
Eylül 3, 2014Futbolcu ayak bileği-Footballer’s ankle
Özellikle futbolcularda görülen, ayak bileğinin ön tarafında, ayak bileği eklemini öne en son noktaya getirildiğinde hissedilen batma, ağrı ve yanma ile karakterli bir ağrıdır.
Sürekli topa ayak sırtı ile vurma sonucu ayak bileği ön kapsülünün zorlanması nedeni ile ortaya çıkar. Bu bölgede kemikleşmeler oluşunca hastada ayak bileği hareketlerinde ağrı başlar.
Tıbbi tedavi ve fizyoterapi ile iyileşmeyen sporcuda ayak bileği artroskopisi kesin çözümdür.

