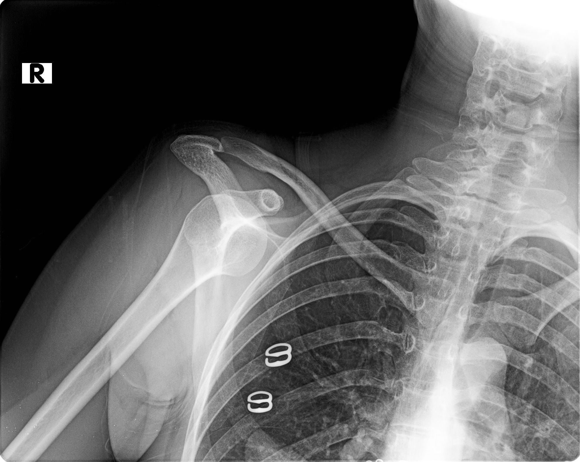
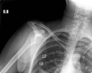
Omuz Protezi Örnek Olgular
Eylül 3, 2014Futbolcu Ayak Bileği
Eylül 3, 2014İlgili Sunumumuz için Tıklayınız
Özellikle basketbol ve voleybol sporcularında gördüğümüz omuz sorunları, omuzun sıkışma sendromu, biceps tendon hastalıkları, omuz döndürücü kılıf yırtıkları ve en önemlisi omuzda oluşan alışkanlık haline gelmiş çıkıklardır.
Tekrarlayan Omuz Çıkıkları:
Aktif sporcu, ilk omuz çıkığı ve de profesyonel ise mutlaka uygun bir olgu ise artroskopik tamir yapıp nüks çıkığı önlemek gerekir.
Bunun için omuza kamera ve aletlerin çalışabileceği küçük delikler açılır, düğümsüz, kendiliğinden emilebilen çıpalar kullanılarak hasarlı ön kapsül ve labrum denen kıkırdak dikilir. Tekniğe uygun ve doğru vakalar yapılırsa başarı %95-98 dir.
Travmatik omuz çıkığı örneği:

