Ayak Bileği Burkulmaları Geçtiğimiz 10 yılda tedavi yaklaşımı en fazla değişen bölgelerden ayak bileğidir. Ayak bileği tibianın ana eklem yüzeyinin dış kısımdan fibulanın desteklediği yuva ile […]
Çocuklarda Esnek Düz Tabanlık Çocuğunuzun ayağı basarken düz, otururken veya parmak uçlarındayken normal ayak içi girintisi görülüyorsa buna esnek düz tabanlık denir. Bu durum aileler için […]
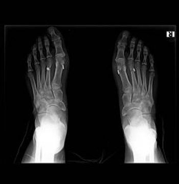
Ayak Başparmağı Çıkıntısı (Halluks Valgus) Ayak başparmağınızın başladığı yerde (tarak kemiği ile parmağın başlağı eklemde) şişlik, çıkıntı varsa halluks valgus’unuz var demektir. Kadınların neredeyse % 40 […]
Doğuştan Çarpık Ayak Pes Ekino Varus (PEV) En sıkdoğumsal hastalıklardan biridir. Topuklar ve parmaklar içe doğru dönmüştür. Genellikle baldır ve ayak normalden kısadır. Bu kısalık özellikle […]