Çocuklarda Esnek Düz Tabanlık
Ağustos 7, 2014Doğuştan Çarpık Ayak
Ağustos 7, 2014
Ayak Başparmağı Çıkıntısı (Halluks Valgus)
Ayak başparmağınızın başladığı yerde (tarak kemiği ile parmağın başlağı eklemde) şişlik, çıkıntı varsa halluks valgus’unuz var demektir. Kadınların neredeyse % 40 ında bu yakınma vardır. Bu hastalıkta %70 oranında genetik bir eğilim vardır. Genetik olarak 1.-2. tarak kemikleri arasındaki açı fazla olduğunda zamanla başparmak diğer parmaklara yaklaşır ve bu keskin açılanma bir çıkıntı olarak görülür. Genetik eğilimliler dışında uzun yıllar topuklu, sivri burunlu ayakkabı giyenlerde de meydana gelebilir. Bu nedenle bu rahatsızlığı olan her 10 hastadan 9 u kadındır.
Bu çıkıntı ayakkabı içinde sıkışınca ciltte kızarıklık ve ağrı olur. Zaman içinde cilt altındaki “bursa” denilen kesecik su toplar ve ağrı-şişlik artar, yakınmalar daha belirgin hale gelir. Uzun zaman devam eden eklemdeki kötü pozisyon kireçlenmeye neden olur. Bu aşamadan sonra yakınmalar iyice artar, ilaç ve diğer tedavi yöntemleri başarısız olur. Tedavinin kireçlenme başlamadan yapılması, ilerideki tedavi başarısını belirleyen ana faktörlerden biridir.
Başparmak zamanla 2. parmağın altına veya üstüne doğru ilerleyebilir. Bu tür mekanik sorunlara nasırlar eşlik eder.
Adolesan halluks valgus
10 lu yaşlarda, özelliklede 10-15 yaş arası kızlarda görülür. Bu yetişkinlerinkinden farklı olarak ağrısızdır. Ağrı oluşursa aşağıda anlatılan koruyucu önlemleri almak gerekir. Bu şekil bozukluğu ileri yaşlarda artacağı için büyüme tamamlanınca cerrahi tedavi önerilir.
Koruyucu tedavi
Bu rahatsızlığa sahip kişilerin büyük kısmı cerrahi olmayan bir biçimde rahatlatılabilir. Öncelikle belirtileri arttıran ayakkabılar bir daha giyilmemelidir. Özellikle dar, sivri burunlu, 5 cm den yüksek topuklu ayakkabılar giyilmemelidir. Ayakkabı alırken başparmak üstünde baskı olmayacak kadar rahat olmalarına dikkat edilmelidir. Ayakkabı içinde başparmak ile 2. parmak arasında makara biçiminde destekler (parmak arası makarası) kullanılması da yardımcıdır. Ağrı kesici ve ödem giderici ilaçlar yakınmaların azaltılmasında yardımcıdır.
Bu tür tedaviler yakınmaları giderir, hastalığın meydana gelmesine neden olan anatomik rahatsızlığı ortadan kaldırmaz. Bu durum yukarıda anlatılan önlemler bırakıldığında yakınmalar devam edecek demektir.
Size cerrahi gerekiyor mu?
Cerrahi olamayan önlemler sizi tatmin eden bir sonuç vermediyse size cerrahi gerekir denilebilir. Günümüzde cerrahi taleplerinde estetik kaygılar ve moda ayakkabıları giyme zorlukları daha fazla yer almaya başlamışsa da asıl cerrahi kararına aşağıdaki gereksinimlerde varmak daha doğru bir yaklaşım olur.
– Günlük aktiviteleri kısıtlayan ağrı.
– Uzun süreli, dinlenme ve ilaçla geçmeyen baş parmak şişlik ve kızarıklığı
– Yandaki parmağın yönünü değiştirecek kadar yön değişikliği
– Baş parmakta sertlik. Bükülme ve esneme zorlukları.
Unutulmamalıdır ki operasyon sonrası ayak numarası asla küçülmez.
Cerrahi tipleri
Halluks valgusta yüzlerce tip operasyon vardır. Bunlardan hangisinin yapılacağına doktorunuz karar vermektedir.
– Başparmak çevresi tendon ve bağlara yönelik girişimler: Nadiren tek başına kullanılırlar. Tek başına uygulandıklarında genellikle nüks sıktır. Genellikle operasyon sonrası alçı gerekir.
– Eklemin dondurulması: Aşınmış eklem yüzeyinin ortadan kaldırılarak başparmak tabanındaki eklemi oluşturan tarak kemiği-parmak kemiği uygun pozisyonda birbirine kaynatılır. Özellikle ilerlemiş kireçlenmenin ön planda olduğu vakalarda tercih edilir.
– Çıkıntının alınması: Başparmak dibindeki çıkıntının alınmasıdır. Nüks sıktır. Operasyon sonrası alçı gerektirmez.
– Eklemin kesilmesi: Aşınmış ve biçimi bozulan eklemin kesilerek çıkarılmasıdır. İleri yaşlarda en sık tercih edilen prosedürlerdendir. Alçı gerektirmez. Ancak parmakta kısalmaya neden olur.
– Osteotomi: Tarak kemiğinin değişik seviyelerden kesilerek yeniden yönlendirilmesidir. Günümüzde en popüler cerrahi yöntemlerdir. Hastalığa neden olan anatomik bozukluğun düzeltilmesini sağlarlar. Kullanılan kesme ve tesbit yöntemine göre alçı gerekebilir veya gerekmeyebilir.
– Mini Gergin İp Yöntemi: Mini invasiv, ağrısız, kemik kesip düzeltmeden yapılan son derece modern bir yöntem olan “MINI TIGHT ROPE” ile uygun hastalarda mükemmel sonuç almaktayız.
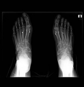
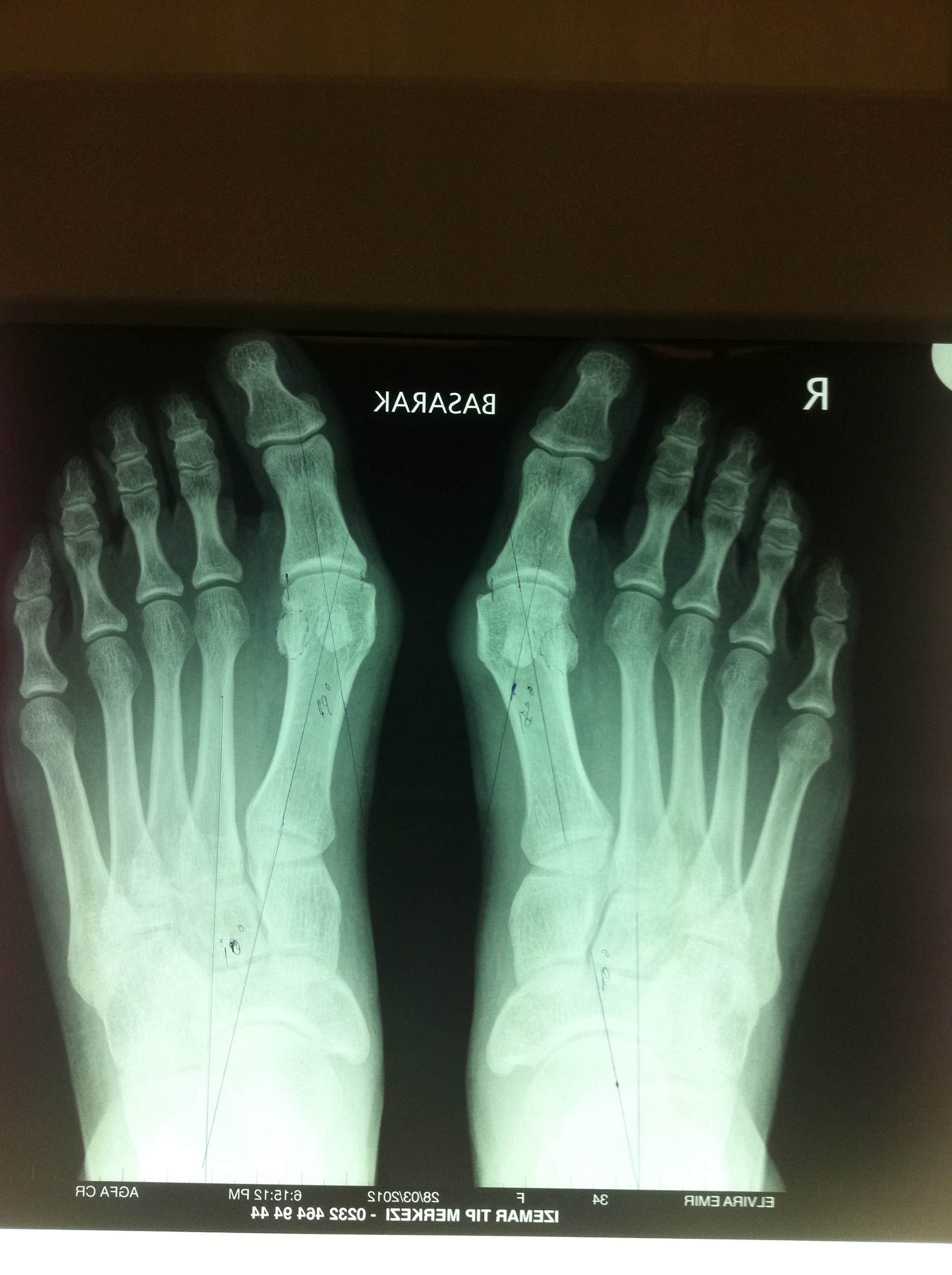
Olgu örneği:
Cerrahi sonrası muhtemel problemler
Ameliyat sonrası %10 oranında komplikasyon görülmektedir. Bunlardan en sık olanı enfeksiyondur. Erken farkedilen ve önlem alınan enfeksiyonlar sorunsuz tedavi edilebilir. Geç kalan vakalarda yeni bir cerrahi gerekebilir.
Diğer komplikasyonlar cerrahi sırasında sinir kesilmesi sonucu başparmakta kalıcı his kaybı, devam eden ağrı, çıkıntının nüksü, eklemde kısıtlılık, cerrahi tesbit yönteminde yetersizlik olaraksayılabilir.
Genelde yeni teknikler, iyi ellerde yapılmış cerrahi, cerrahi sonrası iyi doktor-hasta iletişimi ile % 98 civarında tatmin edici sonuçlar alınmaktadır.
Cerrahi sonrası problemlerden korunma
Aşağıdaki durumlarla karşılaşırsanız derhal doktorunuzu arayın;
– Pansumanınız düşerse, ıslanırsa
– Pansumanınız kan veya sızıntı ile kirlenirse
– Kullanılan ilaçlara karşı yan etkiler ortaya çıkarsa
– Ateşiniz çıkarsa
– Titreme olursa
– Yara çevresinde ısı artışı veya kızarıklık durumunda
– Artan veya azalmayan ağrı durumunda
– Dizaltında-ayak üzerinde belirginbir şişlik
Evde bakım
Cerrahinin başarısı büyük ölçüde sizin doktorununzun önerilerini ne ölçüde uyguladığınıza bağlıdır. Özellikle ameliyat sonrası ilk üç hafta çok önemlidir.
– Pansuman ve bandajlar: Hastaneden parmağınızı doğru pozisyonda tutan bir bandajla çıkarsınız.Doktorunuz size özel bir ayakkabı vermiş veya alçı yapılmış olabilir. Bunları genellikle 6-7 hafta korumanız gerekir.
Dikişler alınana kadar pansuman malzemesini korumalı doktorunuz dışında kesinlikle açtırmamalısınız. Kesinlikle ıslatmamalısınız. Yaranızda koku, ıslanma, pansumanın kirlendiğini hissederseniz zaman geçirmeden doktorunuza başvurunuz.
– Ayağa basma: Doktorunuzun seçtiği ameliyat tipine göre, ayağa değişik yük verme önerileri olabilir. Bunlara mutlaka uymalısınız. Bazı ameliyat tiplerinde mutlaka koltuk değneği kullanmak gerekirken bir kısmında gerek yoktur.
– Şişme: Hangi ameliyat tipi seçilirse seçilsin ilk hafta hatta 15 gün mümkün olduğu kadar ayağın yukarıda tutulması çok önemlidir. Bu ödemin hızla azalmasına ve daha iyi bir yara iyileşmesine neden olur. İlk günler her saat başı 15 dakika buz uygulaması şişlik ve ağrının kontrolünde önenlidir. Yalnız buz su sızdırmayan bir torba içinde olmalı ve bir havlu üzerinden uygulanmalıdır.
– Ayakkabı giyimi: Dikişler alındıktan, alçı ve bandajlar kaldırıldıktan sonra hastalar spor ayakkabılar, ucu geniş topuksuz ayakkabıları giymeye başlarlar. Topuklu ve sivri burunlu ayakkabılara 6 ay sonra izin verilir.
– İlaçlar: Ameliyat sonrası antibiotik kullanımı genellikle rutindir. Ağrı kesicilere ilk günlerde ihtiyaç olmaktadır.


