Ana Sayfa
Prof.Dr.Haluk Hayri ÖZTEKİN
Spor Yaralanmaları
Ön Çapraz Bağ Yaralanmaları
Sporcularda Omuz Sorunları
Trombositten Zengin Plazma(PRP) Tedavisi
Futbolcu Ayak Bileği
Futbolcu kasığı(Atletik pubalji)
Aşil Tendon Yaralanmaları
İliotibial Bant Sürtünme Sendromu
Bale Yaralanmaları
Arka Adele Yaralanmaları-Lif Atması
Piriformis Sendromu-Futbolcu Siyatiği
Futbolcularda Dizin az Bilinen Sorunları
Spor ve Diyet Amaçlı Yürüme Teknikleri
Protez Ameliyatları
Omuz Protezi
Total Kalça Protezi
Total Diz Protezi
Total Kalça Protezi Örnek Olgular
Total Diz Protezi Örnek Olgular
Omuz Protezi Örnek Olgular
Artroskopi
Omuz Artroskopisi
Diz Artroskopisi
Ayak Bileği Artroskopisi
Genel Konular
Boyun
Omuz
Kalça
El ve El Bileği
Diz
Ayak ve Ayak Bileği
Çocuk Ortopedisi
Doğuştan Kas Kaynaklı Boyun Eğriliği
Doğuştan Tetik Parmak
Bebeklerde Diz Çıkığı
Perthes Hastalığı
Kalça Çıkığı
İletişim
✕
Total Diz Protezi Örnek Olgular
Home
Uncategorized
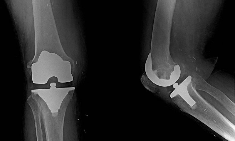
Total Diz Protezi Örnek Olgular
Total Kalça Protezi Örnek Olgular
Eylül 3, 2014
Omuz Protezi Örnek Olgular
Eylül 3, 2014
Total Kalça Protezi Örnek Olgular
Eylül 3, 2014
Omuz Protezi Örnek Olgular
Eylül 3, 2014