Omuz Sıkışma Hastalığı
Ağustos 7, 2014Tekrarlayıcı Omuz Çıkıkları
Ağustos 7, 2014Rotator Manşet Yırtıkları
(Omuz döndürücü tendon manşeti yırtıkları)
(Omuz döndürücü tendon manşeti yırtıkları)
Omuz anatomik olarak çok geniş hareket açıklığı, zayıf eklem teması, bu zayıf teması desteklemek ve hareket açıklığını sağlamak için yer alan kıkırdak ve tendon destekleriyle vucudun en karmaşık eklemidir. Bu eklem ileri yüklenmelere maruz kalır.
40 yaş üzerinde omuz ağrısı nedenlerinin en önemli nedenlerinden biri rotator cuff yırtıklarıdır. Rotator cuff, humerus (üst kol kemiği)kemiğinin üst ucundaki omuz eklemini yapan baş kısmını çepeçevre saran adele-tendon bir yapıdır. Omuz eklemini yerinde tutar ve omuzun içe-dışa dönüş hareketlerini yaptırır.
Rotator manşet yırtığı gençlerde ve sporcularda ani bir harekette oluşan yaralanma ile oluşabileceği gibi, zaman içinde tekrarlayıcı kolun baş seviyesinin üzerindeki hareketlerde zamanla gelişebilir.

Belirti ve bulgular
– Başüstü hareketlerde daha fazla olmak üzere tekrarlayıcı, devamlı omuz ağrısı
– Gece ağrısı. Bu ağrı ağrıyan taraf üzerine yatmayı engeller.
– Adele güçsüzlüğü. Özellikle kolu kaldırmaya çalışırken hissedilir.
– Omuz hareketleri sırasında tıkırtılar , klik sesleri gelmesi.
– Omuz hareketlerinde kısıtlılık.
– Genellikle hastanın ağırlıklı kullandığı kolunda olur.
– Hastalar rahatsızlığın başlamasına neden olduğunu düşündükleri bir olay tanımlarlar.
Risk faktörleri
– Tekrarlayıcı başüzeri hareketler. Fırlatma sporları, tavan boyama gibi
– Aşırı güç, düşme gibi
– Yaşlanmaya bağlı dejenerasyon.
– Rotator maşetin bulunduğu aralıkta daralma. (omuz anatomisine bakınız)
– Rotator manşetin akromion denilen (omuz anatomisine bakınız) çıkıntının altındaki yüzey tarafından zedelenmesi
Yırtığın tesbiti Yukarıdaki bulgulardan herhangi biri mevcutsa zaman geçirmeden doktora başvurun. Şikayetleriniz, hastalığın gelişme öyküsü ve dikkatli bir muayene ile önemli ölçüde fikir sahibi olunabilir. Röntgen incelemesi kemik kaynaklı bulguların tesbitinde yararlıdır. Ancak rotator manşetin direkt izlenebildiği MR ve ultrasonografi gibi tetkikler genellikle kesin tanı ve tedavinin planlanması için gereklidir.
Rotator manşet yırtıkları parsiyel (tam olmayan) veya tam yırtık biçiminde olabilir. Tendonun bütün kalınlığınca olmayan parsiyel yırtıklar cerrahi olmayan tedaviye iyi yanıt verirler. Cerrahi olamayan tedaviye yanıt vermeyen parsiyel yırtıklar ve tam yırtıklarda cerrahi tedavi gerekir.
Tedavi seçenekleri Doktorunuz yırtık tam değilse (parsiyel yırtık) aşağıdaki cerrahi olmayan tedavi seçeneklerini önerebilir;
– Dinlenme yırtık tam değil ve aşırı kullanma nedeniyle gelişmişse yardımcı olabilir.
– İlaç ( ağrı ve ödem giderici ilaçlar) ağrının kontrolünde yardımcıdır.
– Kuvvetlendirme ve germe ekzersizleri fizyoterapinin ana parçalarından biridir ve yapılması önerilir.
– Kortikosteroid enjeksiyonu ağrının giderilmesinde yardımcıdır. Fakat çok sık tekarlanması tendonu zayıflatıp tam yırtığa neden olabilir.
– Ultrason lokal ilaç uygulaması ve derin ısı verme özellikleri nedeniyle iyileşme sürecine yararlıdır.
Yukarıdaki yöntemlere cevap alınamayan parsiyel yırtıklar veya tam yırtıklar için çeşitli cerrahi tedavi seçenekleri vardır. Aşağıda tanımlanan yöntemler modern omuz cerrahisi teknikleridir. Burada hangi tekniğin seçileceğine rotator manşetteki yaralanmanın büyüklüğü, yeri, nedenine bağlı olarak karar verilir. Artroskobik müdahale sırasında omuzdaki tesbit edilen diğer patolojilerinde düzeltilmesi şansı vardır.
– Artroskopi yaklaşık 1 cm lik kesilerden omuz eklemi ve çevre dokulara ait görüntülerin bir kamera aracılığıyla monitöre aktarılması ve yine mini aletlerle görüntü kullanılarak hastalığın ameliyatının yapılması prensibine dayanır. Omuzda kemik çıkıntılarının kaldırılması adele ve tendondaki küçük yırtıkların tedavisinde tek başına yeterli olabilir.
– Mini-açık tamir artroskobi ile birlikte kullanılarak bir kaç santimetrelik küçük kesilerden tam yırtıkların tedavisine olanak verir.
– Açık tamir yaralanmanın çok ciddi olduğu vakalarda uygulanır. Burada doku transferi, tendon grefti uygulamaları yapılabilir.
![]() |
![]() |
![]() |
| Şekil 1- Omuz artroskopisi | Şekil 2- Rotator cuff yırtığı | Sekil 3- Yırtığın dikilmesi |
![]() |
![]() |
![]() |
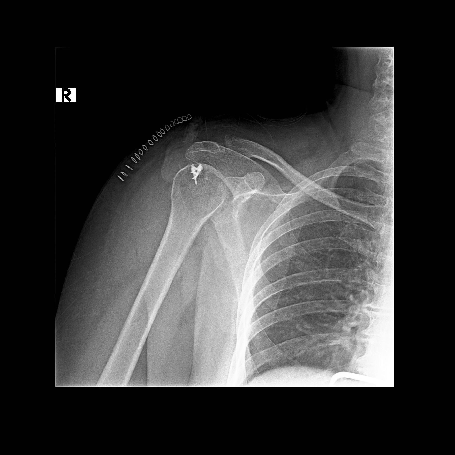
| Şekil 4- Yırtığın kemiğe vidaya bağlı ipler yardımıyla tutturulması | ||
Rehabilitasyon (fizyoterapi)
Tüm omuz hastalıklarında olduğu gibi rotator manşet yaralanmaları ardından normal fonksiyonlara dönüş zaman alır. Cerrahi tedaviler sonrası bu zaman 6 ay veya daha uzun olabilir. Temel prensip eklem hareketlerini arttırıcı ve adele gücünü geliştirici hareketlerin yapılmasıdır. Doktorunuzun vereceği programı uygulamak nihai sonuçta operasyon kalitesikadar belirleyicidir. İyi ellerde yapılan cerrahi ve iyi bir fizyoterapi programı sonrası % 90 civarında tatmin edici sonuçlar alınabilmektedir.






